
Псориаз – хроническое генетическое заболевание. Больной никаким образом не может заразить окружающих и не представляет для них опасности. Заболевание не считается таким уж редким.
К сожалению, излечить псориаз нельзя, но при соблюдении некоторых правил можно избежать дальнейшего прогрессирования.
Чаще всего трудно определить наличие заболевания у младенца самостоятельно. Именно поэтому при возникновении малейших подозрений на кожные высыпания необходимо обращаться к врачу.
Проблемы со здоровье возникают у восьми процентов новорожденных.
Предположительно считается, что заболевание развивается у генетически к тому предрасположенных детей.
Обычно псориазом страдают дети, имеющие отклонения иммунной и нервной системы.
Однако провокаторами развития болезни являются как внутренние, так и внешние факторы.
Чаще всего причиной являются аллергические реакции на лекарственные препараты, травмированные кожи, перенесенные инфекционные заболевания.
Не стоит браться за самостоятельное лечение ребенка. Это может привести к нежелательным последствиям.
Так как распространение бляшек чаще всего начинается с области ягодиц, а эта область постоянно контактирует с каловыми массами и мочой ребенка, существует опасность развития неблагоприятной среды, как следствие, заражение инфекцией через микротравмы кожи.
На начальной стадии развития заболевания родителям достаточно сложно определить характер красных высыпаний на теле ребенка. Очень часто псориаз путают с обычной сыпью.
А несвоевременное начало терапии может привести развитию более тяжелых форм заболевания и нежелательных последствий.
Врачом проводятся все необходимые для выявления стадии и формы заболевания обследования.
Затем назначается соответствующее комплексное лечение.
Они позволяют существенно уменьшить уровень воспаления и снизить уровень чувствительности организма к внешним воздействиям.
Необходимо применение витаминных комплексов, в состав которых всходят витамин А, С и витамины группы В (В1, В2, В9, В12 и В15).Лечение необходимо проводить только под наблюдением врача.
Неотъемлемой частью проведения комплексного лечения является физиотерапия, в том случае если назначенное лечение не дает нужных результатов.
При обширном поражении участков кожи назначается ПУВА-терапия. Суть данного метода заключается в применении фотоактивных препаратов и воздействии на кожу ультрафиолетовых лучей. Препараты повышают чувствительность кожи и стимулируют выработку меланина в ней.
Также в ряде случаев назначают сеансы фитотерапии и седативные ванны.
Народные способы лечения нельзя отнести к самостоятельным. Использование данных методов возможно лишь параллельно с терапевтическим лечением, назначенным специалистом.
Перед началом использования методов народной медицины рекомендуется провести консультацию с лечащим врачом.
Но при соблюдении простых правил вероятность рецидивов сильно сокращается.
Стоит лишь с самого рождения малыша поддерживать его иммунитет, а в дальнейшем избегать стрессов. Ребенку помогут прогулки на свежем воздухе и закаливания, любовь, внимание и забота близких.
По материалам skinmagic.online
Псориаз у грудничков развивается редко, но при протекании заболевания в тяжелой форме у малышей чаще, чем у взрослых, возникают осложнения.
Развитие псориаза и его течение у детей имеет свои особенности, которые педиатр должен учитывать при осмотре кожного покрова малышей и при назначении лечения.
Изучением псориаза ученые занимаются больше ста лет. Проведенные обследования, наблюдения за больными позволили установить, что патология развивается в результате воздействия на организм сразу нескольких провоцирующих факторов.
Определяющее значение при развитии псориаза у детей грудного возраста отводят:
Псориаз у младенцев часто появляется на фоне сниженного иммунитета. Вызывать заболевание могут перенесенные стрептококковые и стафилококковые инфекции (тонзиллит, фарингит), грипп, ветряная оспа.
Активная стадия псориатического процесса часто приходится на реабилитационный период после инфекционных болезней. Обычно в таком случае начальные признаки псориаза видны через 2–3 недели после выздоровления.
Психотравмирующие ситуации на развитие псориаза у грудничка имеют меньшее влияние. Хотя иногда толчок к появлению псориатических высыпаний дает сильный испуг (стрессовый фактор).
Причины псориаза у детей, в том числе и грудничков, продолжают изучаться. Полностью защитить своего ребенка от этой болезни невозможно, но можно снизить риск развития тяжелого и затяжного течения заболевания. Для этого при появлении настораживающих изменений на коже и в поведении младенца следует обратиться к дерматологу, или рассказать о своей проблеме участковому педиатру.

Псориаз у детей имеет особую клиническую картину развития. У самых маленьких болезнь начинается с кожных складок, где появляются розоватые пятнышки, что часто воспринимается как проявление опрелости.
У детей первых лет жизни развитие заболевание начинается с образования небольших папул на разных участках тела. Со временем пятнышки и папулы по центру набухают, отслаиваются, покрываются чешуйками, а их границы расширяются.
Самые вероятные формы псориаза у грудничков:
Помимо самых распространенных форм, болезнь у ребенка грудного возраста может протекать и по другому сценарию. Тяжело переносится эритродермическая форма патологии, проявляющаяся воспалением большей поверхности тела, отслаиванием участков дермы, выраженной болезненностью.
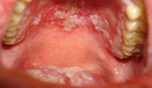
Псориаз у детей может протекать с поражением отдельных суставов, ногтей, кожи головы, при осложнениях патология захватывает внутренние органы. Псориатические элементы могут распространиться на слизистые оболочки ротовой полости, наружных половых органов.
Кожная симптоматика любого подвида псориаза сопровождается и ухудшением самочувствия. Псориатический процесс приводит к сухости тела, к ощущениям стянутости кожи, зуду. Такие дискомфортные ощущения приводят к тому того, что болеющий младенец начинает расчесывать кожу, а ее травмирование вызывает образование новых очагов и повышает риск инфицирования.

Раздражение тела повышает нервозность грудничка, ухудшает его сон и аппетит. Степень выраженности всех симптомов любой из форм болезни определяется стадией развития, всего их четыре:
Определение формы псориаза и его стадии требуется для выбора оптимального курса лечения, цель которого – не только устранение симптомов, но и предупреждение возможных осложнений.
Выставить диагноз ребенку младше одного года только по внешнему осмотру и общим симптомам сложно. Псориаз у детей протекает с отсутствием характерной псориатической триады, выражающейся появлением термальной пленки и мелкоточечного кровоизлияния при отслаивании чешуек.
У грудничков может в первые дни болезни и не быть шелушения. Подтверждается предполагаемый диагноз исследованием соскоба, взятого с поверхности псориатических элементов.
Важное значение в диагностике имеет выяснение наследственной предрасположенности, перенесенных инфекций. При обследовании необходимо дифференцировать псориаз и с дерматозами, имеющими сходную клиническую картину.
Псориаз у грудничка требует комплексной терапевтической помощи. Родители должны принять все меры, чтобы раздражение кожи не усилилось. Для этого необходимо:

Обязательно нужно пересмотреть питание ребенка. Если он питается материнским молоком, то мама должна отказаться от слишком острых, соленых и жирных блюд. Соблюдение гипоаллергенной диеты кормящей мамой помогает ускорить выздоровление. Грудничку нужно давать есть легкие для усвоения блюда, но в его организм должно поступать достаточно микроэлементов и витаминов.
Псориаз у детей лечат следующими группами лекарств:
Иммуномодулирующую и гормональную терапию при псориазе детям назначают в запущенных случаях, когда стандартные схемы терапии не приносят облегчения. Все медикаменты дерматолог должен назначить младенцу, учитывая его возраст, противопоказания, совместимость лекарств друг с другом.
При длительном псориатическом процессе основные лекарства заменяют каждые два месяца во избежание привыкания к ним. При лечении дерматолог должен неоднократно осматривать грудничка и оценивать эффективность терапии.
При псориазе обязательно назначаются наружные средства, помогающие остановить воспалительную реакцию, предотвращающие инфицирование, уменьшающие боль и зуд, способствующие регенерации эпидермиса. Мази и кремы врач подбирает в зависимости от стадии процесса:

При незначительных изменениях кожного покрова лечение желательно начинать с мазей, содержащих растительные компоненты. Эффективны при псориазе крем «Зорька» с флорализином, мазь Видестим, Солипсор. Они уменьшают сухость кожи, ускоряют заживление ранок и трещинок.
К слову, не стоит бояться приобретать препараты для местного лечения псориаза в ветеринарных аптеках. Иногда именно там можно найти высокоэффективные и недорогие средства. Так, уже упомянутый крем «Зорька» предназначен для смазывания трещин коровьего вымени и применяется для профилактики и лечения маститов у крупного рогатого скота. Консервантом является авиационный керосин, поэтому крем не очень приятно пахнет. Стоимость одной большой упаковки крема составляет около 100 руб. в ветеринарных магазинах. Такой же крем «Зорька», в котором вместо авиационного керосина в качестве консерванта используется косметический консервант, обладающий приятным запахом, по цене в «человеческих» аптеках уже будет составлять около 1000 руб., при одинаковой эффективности.
Псориаз является хроническим заболеванием, поэтому в период ремиссии коже ребенка также нужно обеспечить должный уход. Тело после каждого купания нужно увлажнять, для этого подходят антипсориатические препараты или эмоленты – средства для наружного применения, смягчающие кожу.
Наружная и лекарственная терапия совмещаются с использованием физиотерапевтических методик. При псориазе неплохие результаты дает применение фототерапии, ребенку вид процедуры подбирается согласно его возрасту.
Полезны в лечении псориаза и народные методики. Только нужно выбирать те, что не вредят нежной коже младенца. Закаливание грудничка, разнообразное витаминизированное питание, прогулки на свежем воздухе, положительные эмоции и отсутствие влияния психотравмирующих ситуаций – основные профилактические меры, удлиняющие период ремиссии до нескольких лет.
На вопрос, может ли быть псориаз у детей грудного возраста, дерматологи отвечают положительно. Поэтому при появлении любой настораживающей симптоматики ребенка необходимо срочно показать специалисту – вовремя начатое лечение предупреждает переход болезни в тяжелые формы.
По материалам netpsoriaza.ru
Начальная стадия псориаза у детей диагностируется в любом возрасте. Есть случаи заболевания и у грудничков. Лечить псориаз у детей нужно как можно раньше. Применяют при лечении детский крем от псориаза на основе гормонов, а также другие средства – витамины, фототерапию, климатотерапию.
Начальная стадия псориаза у детей (фото 2) нетипичная для развития патологии, поэтому симптомы как начинается псориаз можно спутать с другими кожными заболеваниями. Обычно псориатические проявления возникают там, где заболевание не проявляется. Начинается псориаз у детей с мацерации кожи в естественных складках, на слизистой, в области лица.

Обнаруживается начальная стадия псориаза у детей на голове – фото псориаза на голове можно увидеть, чтобы различить его от перхоти. Течение заболевания длительное, даже при упорном лечении положительных результатов добиваются не скоро. Начальная стадия на локтях у детей сопровождается трещинами, что отягощает течение заболевания. Псориаз у маленьких детей проходит три стадии развития заболевания — прогрессивную, стационарную и регрессивную.

Псориаз у детей в начальной стадии может протекать в различной форме: бляшковидной, пустулезной, каплевидной и эритродермической. Наиболее распространена первая форма. Псориаз у ребенка (фото 3) в бляшковидной форме проявляется воспаленными корочками, которые шелушатся и трудно отслаиваются, под ними открывается капиллярное кровотечение. Детский псориаз поражает любую часть тела. Например, бляшковидная начальная стадия на ногах у детей распространяется и на коленный сустав, и на складку кожи под коленом.
Псориаз на теле у ребенка в каплевидной форме чаще локализован на конечностях и под волосами. Каплевидный псориаз у детей встречается реже. Наиболее тяжелое течение детский псориаз имеет в пустулезной форме, когда высыпания с жидкостью внутри генерализированными пятнами сливаются на значительных участках тела. Псориаз у ребенка в начальной стадии (фото ниже) при эритродермической форме грозит маленьким детям летальным исходом, поскольку сопровождается тяжелым воспалительным процессом.

Симптомы псориаза у детей различаются в зависимости от формы течения недуга. Признаки псориаза у детей обычно появляются под влиянием провоцирующего фактора. Детский псориаз ( фото 4) проявляется следующими признаками:
Псориаз на голове у ребенка (фото внизу) в начальной стадии может напоминать перхоть, но уже скоро заболевание проявляет свои специфические признаки. Выглядит псориаз у детей на теле, как и у взрослых – появляются такие же бляшки и места усиленного шелушения.

Псориаз у младенцев появляется в первые месяцы развития малыша, если признаки псориаза у женщин обострились во время беременности. Псориаз у грудничков (см. фото 5) может быть спровоцирован пеленочным дерматитом, который появляется в виде опрелостей на ягодицах. Это представляет определенные трудности в диагностике заболевания.
Обычно пеленочный дерматит быстро исчезает при правильном лечении, а вот псориаз у грудничка затягивается на длительное время. В этот период заболевание может и не проявлять себя классическими признаками, и симптомы псориаза у ребенка грудного возраста не появляются, а остается лишь покраснение в месте поражения кожи.

Точные причины возникновения псориаза у детей до сих пор не выявлены. Рассматривая возможные причины псориаза у детей, стоит в первую очередь обратить внимание на наследственность. Псориаз является аутоиммунным заболеванием, поэтому риск получения его достаточно велик. По наследству от отца к ребенку псориаз передается, но такой же процент вероятности получить заболевание и от матери, особенно, если псориаз и беременность совпали по времени.
Причины появления псориаза у детей могут быть усилены провоцирующими факторами, среди которых стрессовое состояние, кожные заболевания, предрасположенность ребенка к аллергии. Псориаз у новорожденных возникает, если причины болезни псориаз были спровоцированы именно пеленочным дерматитом. У ребенка может быть псориаз из-за слабого иммунитета, а псориаз у подростков (фото внизу) часто провоцируется гормональными перестройками организма в период полового созревания. Псориаз у детей на голове и псориаз ногтей у детей может быть вызван нарушением метаболических процессов.
Лечение детского псориаза нужно начать как можно раньше, на начальной стадии. Поскольку полностью искоренить болезнь нельзя, лечение псориаза у детей ставит своей целью достижение длительного периода ремиссии. Чтобы лечить псориаз у детей эффективно, нужно устранить причины, вызывающие обострение заболевания. Среди них может быть пищевая аллергия, стресс, кожные инфекции. В дальнейшем детям назначают комплекс препаратов от псориаза: седативные и десенсибилизирующие средства, антигистаминные препараты, пирогены и витамины. В крайнем случае прибегают к гормональной терапии.
Обычно лекарственные средства наносятся на места поражения и укрываются повязками. С некоторыми препаратами детям можно принимать ванны. При лечении не стоит пренебрегать физиотерапией, климатотерапией, фитотерапевтическими препаратами. Вылечить псориаз у ребенка нельзя, но можно максимально облегчить течение заболевания.
Детский крем от псориаза должен удовлетворять главному условию – быть безопасным для здоровья ребенка. Обычно малышам назначают крема на основе фитопрепаратов, которые не вызывают аллергии. Такие средства насыщены витаминами, крем от псориаза кожи хорошо увлажняет ее, устраняет сухость и шелушение. Среди препаратов, которые назначает врач детям, эффективны и имеют хорошие отзывы Псорикон, Цитопсор, Карталин и другие. Также детский крем от псориаза должен содержать и кератолитики, поэтому наряду с такими кремами врачи назначают еще и кератолитические средства – Акридерм, Колломак, салициловую мазь.
По материалам www.psoriazo.ru
Псориаз у грудничков явление редкое, но если случается, то заболевание протекает в тяжелой форме. У малышей чаще, чем у взрослых развиваются осложнения этой кожной патологии. Течение псориаза у детей имеет свои особенности и при появлении кожных высыпаний педиатр должен учитывать их при назначении лечения. Заболевание требует комплексного подхода и при раннем его начале можно добиться стойкой ремиссии, и тем самым улучшить состояние здоровья малыша.
Псориаз у младенцев развивается в результате одновременного воздействия нескольких факторов:
Примерно на 30% увеличивается вероятность развития псориаза у новорожденного, если среди ближайших родственников была диагностирована это патология. Если же псориазом страдают одновременно мать и отец ребенка, то такая вероятность возрастает почти на 80%. Тем не менее ребенок наследует не саму болезнь, а лишь предрасположенность к ней, и значит, при правильном уходе есть вероятность избежать ее.
Практически всегда это кожное заболевание у грудничков развивается на фоне снижения иммунитета. Вызвать псориаз могут перенесенные ранее стафилококковые или стрептококковые инфекции, такие как фарингит или тонзиллит, а также ветряная оспа и грипп.
Активизация псориатического процесса нередко манифестирует в период реабилитации после этих болезней. Начальные стадии поражения кожи могут проявиться уже через 2-3 недели после излечения.
Нарушенный обмен веществ и эндокринные дисфункции могут благоприятствовать развитию этого кожного заболевания. Если у взрослых в качестве предпосылок к развитию псориаза рассматриваются психотравмирующие факторы, то в отношении маленьких детей они имеют меньшее влияние.
Начальные признаки заболевания во многом зависят от ее формы. У грудных детей встречаются следующие разновидности псориаза:


Симптомы псориаза у детей грудного возраста имеют свои особенности. Начальную стадию заболевания нередко путают с дерматитом. Первые высыпания появляются на ягодицах ребенка. Это пятна выраженного красного цвета с четким контуром. При дерматите же контур размытый и оттенок больше розовый.
Протекает болезнь у детей в несколько стадий:
Псориаз, или как его по-другому называют чешуйчатый лишай, в самом начале своего проявления может напоминать другие кожные заболевания.
Первым признаком начала болезни является образование на коже мелких папул красного или розового цвета. Поверхность их глянцевая, но через несколько дней оттенок меняется и становится серебристым или сероватым. При этом проявляется выраженное их отшелушивание. Папулы лишь немного выступают над поверхностью кожи, но имеют тенденцию к увеличению в размере. Постепенно они сливаются и образуют псориазную бляшку.
Даже малейшее травмирование папул приводит к их кровоточивости. Это обусловлено увеличением на этом участке количества капилляров. Ребенка беспокоит зуд, он начинает активно расчесывать папулы. Образование бляшек завершает начальный этап.
Псориаз поражает любые части тела, в том числе кожу головы. Постоянный кожный зуд и раздражение тела вызывает у грудничка дискомфорт, нервозность, ухудшение сна и аппетита.
Постановка диагноза псориаз ребенку до года лишь на основании внешнего осмотра и симптомов представляется нелегкой задачей. Нередко случается так, что у грудных детей заболевание протекает без характерной для псориаза триады симптомов:
Бывает, что в раннем детском возрасте на начальной стадии отсутствует шелушение. С учетом всех этих нюансов для подтверждения диагноза необходимо взять соскоб с поверхности образовавшихся пятен или папул.
В диагностических целях важно выявить наследственную предрасположенность к псориазу и перенесенные ранее инфекции. Следует дифференцировать рассматриваемую патологию с дерматозами, поскольку они имеют сходную симптоматику. Например, при аллергической реакции высыпания имеют более интенсивный тон, а после приема антигистаминных препаратов их цвет тускнеет, и область поражения уменьшается. При псориазе этого не происходит.
Если сравнивать с потницей и дерматитом, то от псориаза их отличает отсутствие четкости очертания и цвет. При чешуйчатом лишае бляшки постепенно увеличиваются в размере и отслаиваются.
Сложности в выявлении псориаза на ранней стадии у грудных детей приводит к тому, что болезнь прогрессирует и может приобрести сложную форму.
Поскольку псориаз локализуется на любом участке тела, а чаще всего у новорожденных это естественные складки, в том числе ягодицы, то это несет в себе опасность инфицирования этих мест.
Постоянный контакт содержимого подгузника с пораженными участками кожи может стать благоприятной средой для активизации патогенных микроорганизмов. В результате этого процесса происходит инфицирование.
Относительно вопроса заразности детей с псориазом, то необходимо знать, что заболевание не инвазивное, оно передается иным путем.
Псориаз относится к категории хронических заболеваний, но при своевременном и правильном лечении можно достичь стойкой ремиссии. И может быть в будущем оно больше не проявится у ребенка либо частота рецидивов сократится. Подбор эффективных медикаментозных средств определяет успех лечения более чем на 80%. Псориаз требует комплексного подхода.
Терапия должна быть направлена не только на борьбу с уже образовавшимися патологическими очагами кожи, но и устранение неприятных симптомов, вызванных этим заболеванием. При первых признаках необоснованного появления сыпи необходимо обратиться к дерматологу.
Относительно лечения псориаза популярный детский врач Комаровский говорит, что от заболевания не получится полностью избавиться, но возможно разработать эффективную схему его лечения.
Лекарственная терапия псориаза заключается в назначении и приеме следующих групп медикаментозных средств:
Антигистаминные препараты способствуют уменьшению кожного зуда и снимают отечность. Лекарства такого действия принимают несколько дней в активную фазу болезни. Для детей грудного возраста назначают лекарственные средства в форме капель, например, Фенистил, Зиртек, Супрастин.
Энтеросорбенты применяются для снижения интоксикации. Десенсибилизирующие препараты способны подавлять аллергическую реакцию организма и действуют как противоаллергическое средство. Для лечения детей чаще всего используют раствор Глюконата кальция. Витамины применяются только по назначению врача, поскольку не всегда имеется необходимость в них при этом заболевании.
В запущенных случаях болезни, когда стандартная схема лечения не оказывает терапевтического эффекта, прибегают к иммуномодулирующим и гормональным препаратам. Лекарства подобного действия назначаются с учетом возраста ребенка, сопутствующих патологий и совместимости лекарств.
Когда псориатический процесс имеет длительное течение, врачи заменяют назначаемые лекарственные средства каждые 2 месяца. Это делается во избежание развития привыкания к ним. В течение всего периода лечения осматривают кожу ребенка для оценки эффективности терапии.
При псориазе у новорожденных обязательно используют лекарства наружного применения. Это мази и кремы, способствующие приостановлению воспалительной реакции, уменьшающие зуд и боль, предупреждающие инфицирование и способствующие восстановлению поверхности эпидермиса. Их назначение осуществляется в соответствии со стадией заболевания:
Гормоносодержащие медикаменты назначаются коротким курсом во избежание токсического воздействия на организм ребенка. Если поражения незначительные, то ограничиваются мазями, содержащими растительные компоненты (Зорька, Видестим, Солипсор). Эти препараты ускоряют заживление ран, и уменьшают сухость кожи.
Комплексное лечение предполагает проведение физиотерапевтических процедур. Без них невозможно добиться положительного результата. При лечении грудных детей применяется фототерапия и ультрафиолетовое облучение. Эти процедуры способствует восстановлению кожного покрова. Также они оказывают подсушивающее и заживляющее действия.
При обширных поражениях кожи применяется ПУВА-терапия. Это сочетание ультрафиолетового облучения и приема фотосенсибилизаторов. Длительность проведения процедуры и их кратность определяется врачом в зависимости от стадии заболевания и ее формы.
Народные способы лечения должны использоваться совместно с медикаментозной терапией, предписанной врачом. Прежде чем начать применять их на практике необходимо проконсультироваться со специалистом.
Ежедневное купание ребенка в слабосоленой воде поможет снять неприятные кожные симптомы псориаза. Рекомендуется принимать ванны с отварами лечебных трав (ромашка, шалфей, лен). Так, отвар ромашки готовится следующим способом:
Отвар шалфея готовится аналогичным способом. Чтобы приготовить отвар семян льна, 1 л кипяченой воды заливают 4 ст. л. этого ингредиента и оставляют настаиваться 8 часов. Полученный раствор добавляют в воду для купания ребенка. Полезным считается и смазывание псориатических пятен льняным маслом.
Благотворное воздействие на ребенка, больного псориазом, окажет отвар корня лопуха. Им не только смазывают кожу, но и принимают внутрь. Чтобы его приготовить, потребуется 2 ст. л. сухого сырья и 0,5 л кипяченой горячей воды. Ингредиенты соединяют и оставляют настаиваться на 10 часов. Принимают по 50 г 1-3 раза в день.
При появлении подозрительных пятен на коже новорожденного необходимо сразу обратиться к дерматологу. Это тяжелое заболевание, и лечение должно назначаться специалистом. Активная терапия на начальной стадии поможет предотвратить развитие тяжелых форм заболевания.
После достижения ремиссии для предотвращения рецидивов рекомендуется соблюдать следующие общие профилактические меры:
Несмотря на то, что псориаз является хроническим заболеванием, соблюдение рекомендаций относительно лечения и коррекции питания и образа жизни может существенно сократить вероятность рецидивов. Необходимо поддерживать иммунитет ребенка и исключить стрессовые ситуации из его жизни.
По материалам wikiderm.ru
Псориаз может иметь разные симптомы. Существует ряд специфических признаков, которые отличают его от других заболеваний. Иногда приходится проводить дифференциальную диагностику с иными дерматозами.
От правильной интерпретации клинической картины зависит рациональность подобранной терапии. Поэтому важно знать, как проявляется псориаз.
Заболевание относится к числу дерматозов. В патологический процесс преимущественно втягивается эпидермис. Первые симптомы псориаза всегда проявляются по типу характерных высыпаний.
Они представлены папулами (бляшками). Это патологические элементы, которые развиваются внутри поверхностных слоев кожи. Они обладают целым набором особенностей:
Псориаз у человека протекает с возникновением сыпи, которая практически всегда обладает всеми указанными свойствами. Иногда могут быть незначительные нюансы, которые характеризуют уже конкретную форму заболевания.
При своевременном обращении к врачу можно приостановить прогрессирование псориаза, симптомы которого начали активно развиваться. Главное – подобрать правильное лечение. Типичные бляшки – это главный признак конкретного дерматоза.
Благодаря ему диагностика патологии редко является слишком трудной для врача.

Недуг не является слишком распространенным среди населения планеты. Согласно статистике, от него страдают от 2 до 5% населения Земли. Однако с каждым годом эта цифра растет. Поэтому важно уметь вовремя диагностировать патологию, а потом начинать борьбу с ней.
Некоторые люди даже не представляют себе, как выглядит псориаз. При наличии характерной сыпи его лечение может сводиться к применению народных средств, что не дает ощутимого результата. Тем не менее время теряется.
Существует особая триада симптомов, которая является характерной только для данного дерматоза. При ее обнаружении диагноз ставится очень просто. К числу этих признаков относятся:
Важно уточнить, что соскабливание надо проводить либо тупым скальпелем, либо предметным стеклышком. Не стоит царапать бляшки ногтями.
Первые признаки псориаза не возникают сами собой. Важно понимать, что все имеет свою причину. Однако она не всегда известна докторам. На данный момент точно не установлено, почему именно развивается конкретный недуг. Существует довольно много теорий, но ни одна из них не является универсальной.
Симптомы псориаза появляются после воздействия определенных провоцирующих факторов. Они являются триггерами патологической реакции, а главными из них остаются:
Симптомы псориаза могут возникать после воздействия указанных факторов. Чем больше из них влияет на человека одновременно, тем выше шанс на манифестацию недуга. Однако важно понимать, что далеко не у всех людей начинается болезнь.
Существует определенный механизм, согласно которому развивается псориатическая сыпь. Он включает несколько последовательных реакций:
Причины псориаза и его механизм развития все еще активно изучаются врачами. До сих пор не утихают споры на эту тему.

Помимо типичного высыпания, существуют другие признаки заболевания. В большинстве случаев они сопровождают бляшки, но иногда могут отсутствовать. Они помогают более точно сориентироваться при диагностике, назначить пациенту правильное лечение.
Наиболее распространенными симптомами псориаза являются:
Каждый из симптомов имеет свои особенности. Он может проявиться не у каждого пациента, однако, нужно помнить о возможных путях его устранения. Ниже будет приведена краткая характеристика каждого признака.
Псориаз на коже сопровождается данным симптомом примерно у половины всех пациентов, страдающих от конкретного дерматоза. Он относится к неспецифическим проявлениям, поскольку имеет общую с другими дерматологическими заболеваниями природу.
Его развитие связано с высвобождением медиаторов воспаления (преимущественно гистамина). Эти биологически активные вещества раздражают микроскопические нервные окончания, меняют особенности локальной микроциркуляции.
На фоне подобных реакций человек может ощущать неприятный симптом. Он не всегда сопровождает недуг. Бывают ситуации, когда типичные бляшки вовсе не доставляют пациенту никакого дискомфорта, кроме визуального дефекта.
Многое зависит от чувствительности рецепторов к гистамину и его количеству в тканях. Для успешной борьбы с конкретным проявлением псориаза применяют антигистаминные, а также другие противоаллергические препараты.
Хорошие результаты демонстрируют противовоспалительные и успокаивающие медикаменты. Зуд может появиться даже еще до образования типичных бляшек. Тем не менее правильно установить диагноз почти нереально из-за брака вспомогательных симптомов.
Практически все патологические элементы при псориазе покрываются серебристыми чешуйками. Они представляют собой отмершие кератиноциты. Они скапливаются на поверхности кожи, а потом отторгаются.
Появившись один раз, бляшки будут сопровождать пациента до конца его жизни. Однако шелушение – факультативный симптом. Он во многом зависит от правильности подбора специальной терапии, выполнения пациентом рекомендаций врача.
Не шелушатся только зоны роста патологических элементов. Они характерны для молодых бляшек, которые начинают распространяться на здоровые участки кожи.

Сухость эпидермиса обусловлена несколькими изменениями в его функционировании на фоне заболевания, которыми являются:
Сухость эпидермиса ведет к формированию трещин, микротравм. Они являются входными воротами для разной инфекции. Если у больного появились такие миниатюрные ранения, необходимо воспользоваться заживляющими средствами.
Они предотвратят бактериальную инвазию с прогрессированием следующих дополнительных симптомов:
В таком случае для борьбы с псориазом придется дополнительно использовать антибактериальные средства.
Общее плохое самочувствие – очень неспецифический признак псориаза. Они присущ практически для любого недуга. Может прогрессировать в разном возрасте. Все зависит от индивидуальных особенностей организма пациента.
При псориазе он отображает общую реакцию тела на развивающуюся проблему. Для его устранения необходимо бороться с главными проявлениями патологии.
Вспомогательные признаки псориаза, указанные выше, помогут подобрать правильную терапию и улучшить самочувствие больного человека. Главное – вовремя обратиться к врачу. Самолечение может быть фактором усугубления состояния пациента.
В зависимости от клинической картины может зависеть решение доктора о том, как лечить конкретного больного. Каждый организм индивидуален. Подбор терапии должен быть соответствующим.
Псориаз у взрослых развивается практически всегда по одной и той же схеме. Ее активность может отличаться, но этапность – нет. Этот факт иногда позволяет отличить болезнь от других дерматозов (псевдопсориаз, разнообразные лишаи и тому подобное).
В процессе развития симптомов выделяют три основных стадии:
Все они имеют свои особенности и определенный характер протекания. В зависимости от того, в какой стадии пребывает пациент, может отличаться подход к его лечению со стороны врача. Ниже будут рассмотрены базовые нюансы каждой из фаз.
Проявление псориаза на данном этапе не слишком выраженно. Оно носит начинающий характер. Чаще манифестирует после сильного стресса или перенесенного заболевания. Особенностями этой фазы заболевания являются:
Многие пациенты интересуются, в каком возрасте проявляются первые признаки недуга. Чаще он манифестирует у людей до 20 лет (примерно 65%). Однако бывают случаи начала болезни в зрелом и старшем возрасте. Иногда страдают дети еще до школы.

Наступает фаза плато. Бляшки приостанавливают свой рост. Происходит своеобразная стабилизация состояния пациента. Она может быть спровоцирована правильно подобранным лечением или природным течением болезни. Особенностями данного периода являются:
Длительность фазы плато и дальнейший ее прогресс или регресс зависят от правильности подобранной терапии.
Последняя фаза возникновения симптомов псориаза. Она знаменует окончание определенного обострения заболевания. Ее наступление не означает излечение от недуга. На данный момент полностью избавиться от него невозможно. Реально только достичь длительной ремиссии.
На этой стадии все симптомы псориаза стихают. Кожа постепенно очищается от бляшек. Визуально они могут становиться совершенно незаметными. Человек не испытывает никакого дискомфорта и может возвращаться к обычному образу жизни.
Симптоматика этого дерматоза практически всегда одинаковая. Главной мишенью патологии остается кожа. Однако известно, что на разных участках тела она отличается. Существуют и некоторые особенности клинической картины.
Они зависят от локализации процесса и его активности. Ниже будут рассмотрены нюансы симптомов псориаза при поражении разных частей тела пациента.
Наиболее распространенной локализацией патологического процесса особенно на ранних этапах остается разгибательная поверхность локтей и колен. Типичные бляшки тут развиваются по стандартной схеме, описанной немного выше.
Сначала формируются отдельные папулы, покрытые чешуйками, а потом они сливаются, создавая большие конгломераты. При атипичной форме псориаза кожные элементы обнаруживаются на сгибаемых поверхностях суставов.
Характерным остается то, что бляшки при подобной локализации часто краснеют из-за постоянного контакта с одеждой. Это можно использовать иногда для дифференциальной диагностики дерматоза с другими заболеваниями.
В зоне лица и шеи папулы меньших размеров с четкими краями. Они сохраняют все типичные признаки, но имеют ограниченный характер. Они преимущественно возникают:
Подобная локализация доставляет пациенту массу дискомфорта из-за визуального дефекта.

На месте перехода лба к волосам формируется псориатическая «корона». Сыпь тут располагается, формируя особый ободок, который получил характерное название. Параллельно прогрессирует перхоть.
Псориаз развивается по типу себореи с нарушением функционирования сальных желез. Прогрессирует сухость кожного покрова головы.
Псориаз на теле возникает при генерализации патологического процесса. Бляшки практически не отличаются никакими серьезными особенностями. Часто сливаются в большие конгломераты, которые постоянно зудят и шелушатся.
Патологические элементы возникают преимущественно на спине. Живот поражается реже. Иногда бляшки могут иметь вид лиловых капель, формируя большие области красноватого цвета.
Такая локализация преимущественно характерна для ограниченной формы псориаза. Происходит утолщение слоев эпидермиса. Возникают трещины на фоне сухости кожи. Часто присоединяется грибковая или бактериальная инфекция.
Псориаз как патология со втягиванием в процесс ногтей характеризуется изменением пластинки. Формируется псориатическая ониходистрофия. Она сопровождается следующими симптомами:
Пластинка может крошиться. Симптомы при псориазе подобной локализации легко перепутать с грибковым поражением. Наиболее плохим вариантом развития событий остается онихолизис. Он сопровождается отслоением ногтя.
Псевдопсориаз – это еще один дерматоз, который визуально напоминает традиционное заболевание. Он также сопровождается вспомогательными симптомами (зуд, шелушение, общее ухудшение самочувствия человека, сухость кожи).
Патология, как и псориаз, остается слабо изученной. Отличить два заболевания можно по отсутствию традиционной триады симптомов при псевдопсориазе. Для него характерен «феномен облатки».
При осторожном снятии чешуек с поверхности папулы они отделяются полностью единым слоем. Отличается и лечение конкретного недуга. Оно базируется на применении следующих групп медикаментов:
Вопрос полного излечения от псевдопсориаза остается открытым. Его переводят в стадию ремиссии и применяют профилактические медикаменты для закрепления результата. В любом случае терапию нужно осуществлять у специалиста.

Изучением псориаза, его симптомов и лечением у взрослых должен заниматься квалифицированный доктор. Сейчас существует несколько базовых подходов к терапии недуга:
Иногда допускается применение народной медицины, но оно должно быть ограниченным. Нетрадиционный подход к оздоровлению может не оказать должного влияния, а при отсутствии базовых медикаментов это приведет к ухудшению состояния пациента.
Локальная терапия базируется на применении топических средств. Они позволяют воздействовать только на пораженные участки. Эффективны на ранних стадиях прогрессирования недуга. Для достижения цели чаще всего используют следующие группы медикаментов:
Для борьбы с распространенными формами псориаза местная терапия подходит хуже. Это обусловлено необходимостью наносить медикаменты на очень большие участки тела, что не всегда удобно.
Используются лекарства, которые влияют на все тело пациента:
Они блокируют деление клеток и способствуют снижению количества бляшек.
Среди физиотерапевтических процедур наиболее перспективной остается фототерапия. С помощью ультрафиолетового облучения удается блокировать пролиферацию кератиноцитов. За счет этого происходит очищение кожи.
Псориаз – серьезная болезнь. При появлении первых симптомов нужно сразу же обращаться к доктору за помощью. Своевременное начало лечение способствует предотвращению прогрессирования недуга.
Источник:
Псориаз является аномальной реакцией организма на воздействие внешних раздражителей, в результате которой на отдельных участках тела происходит быстрое отмирание верхнего слоя кожи. В норме длительность цикла деления и последующего созревания клеток составляет 21-28 дней, в случае псориаза период сокращается до 3-5 дней.
Сегодня большинство специалистов склонны считать псориаз мультифакторным заболеванием наследственной этиологии.
Есть несколько теорий о происхождении болезни. Согласно первой, существуют две разновидности лишая:
Сторонники другой теории утверждают, что единственным фактором, способствующим развитию псориаза, являются нарушения иммунитета, которые провоцируются самыми разнообразными факторами:

В соответствии с данной теории чешуйчатый лишай причисляется к системным заболеваниям и может распространяться на внутренние органы, суставы, другие ткани. При поражении суставов развивается так называемый псориатический артрит, при котором страдают небольшие суставы кистей, стоп.
Появлению болезни благоприятствуют следующие факторы:
Как начинается псориаз, как он проявляется, каково его воздействие на организм – все эти моменты определяются конкретной разновидностью патологии.
Сегодня существует несколько классификаций заболевания. Одна из самых распространенных делит псориаз на две разновидности:
Непустулезная (или простая) форма представляет собой отличающуюся стабильным течением хроническую патологию. К данной группе относится и эритродермический псориаз, основным симптомом которого является поражение большей части кожного покрова.

Пустулезная разновидность включает в себя:
Отдельной категорией являются:
В зависимости от локализации патологического процесса и особенностей проявления первых симптомов псориаза выделяют:
Псориаз — системная патология, которая, кроме распространения на кожный покров и ногти, может затрагивать позвоночный столб, область суставов, сухожилий, иммунную, эндокринную, нервную системы. Нередко происходит поражение печени, почек, щитовидной железы.

Первыми симптомами псориаза чаще всего являются:
По причине комплексного воздействия патологии на организм специалисты скорее склонны говорить о псориатической болезни.
И все же основная клиника связана с поражением определенных участков кожных покровов. Одним из первых проявлений является появление покрытых псориатическими бляшками (чешуйками) округлых папул ярко-красного или розового цвета.
Их особенность — симметричное расположение на волосистой части головы, сгибательных поверхностях, пояснице, реже – слизистой половых органов. Размер папул на ранних стадиях составляет несколько миллиметров и может в дальнейшем доходить до 10 и более см. Особенность сыпи становится основой для разделения заболевания на следующие виды:
Иногда сыпь бывает дугообразной, в форме колец или гирлянд, географической карты с неправильными краями.
Верхним слоем папул являются с легкостью удаляющиеся чешуйчатые бляшки, образованные ороговевшим эпидермисом. Вначале чешуйки формируются в центральной части бляшки, постепенно распространяясь к краям. Светлый рыхлый вид обусловлен наличием в ороговевших клетках наполненных воздухом промежутков. Порой вокруг элементов формируется розовое кольцо, представляющее собой зону роста бляшки и распространения воспаления. Окружающая кожа остается в неизменном состоянии.
При удалении налета выявляется блестящая поверхность ярко-красного цвета, образованная капиллярами со значительно истонченными стенками, сверху покрытых очень тонкой пленкой. Капилляры обнаруживаются вследствие нарушения нормального строения верхнего слоя кожи и его существенного истончения. Изменение структуры кожи происходит в результате неполного созревания клеток кератиноцитов, приводящего к невозможности их нормальной дифференциации.
Основным симптомом псориаза головы является появление заметно возвышающихся над окружающей кожей псориатических бляшек. Они обильно покрыты напоминающими перхоть чешуйками. При этом сами волосы не вовлекаются в патологический процесс. С расположенной под волосами зоны высыпания могут распространяться на гладкую кожу, область шеи, за уши. Этот процесс обусловлен быстрым делением кератиноцитов в зоне поражения.
Такая форма лишая провоцирует значительное утолщение рогового слоя кожи на указанных участках. Кожный покров становится грубым и покрывается трещинами. Причиной является интенсивное деление клеток (скорость их размножения до 8 раз превышает норму) и сохранение на поверхности.
На раннем этапе на коже формируются пустулы с содержимым, которое вначале бывает прозрачным, но постепенно становится белым. Со временем образуются темные рубцы. В большинстве случаев болезнь проявляется одновременно на стопах и ладонях, но иногда бляшки возникают только на одном участке. При распространении процесса на тыльную сторону рук речь идет уже о другой форме псориаза (не о ладонно-подошвенной).
Как проявляется псориаз ногтей? Для этого вида заболевания характерно разнообразие симптомов. Наблюдаются в основном два вида поражения пластинок:
Проявления псориаза варьируются в зависимости от конкретного сезона и стадии. У многих пациентов наблюдается “зимняя” разновидность заболевания, при которой периоды обострения бывают в конце осени или зимой. В теплое время года благодаря интенсивности ультрафиолета наступает улучшение. “Летний” тип является довольно редким.
В течении патологии выделяют три стадии:
Симптомы псориаза у детей имеют некоторые отличия, особенно у грудничков. Первые признаки не являются типичными. В кожных складках появляется разграниченная область покраснения, которая сопровождается мацерацией и постепенным отслаиванием рогового слоя (начинается с периферии). Внешне это напоминает экзематиды, опрелости или кандидоз. У детей младшего возраста высыпания продолжают появляться в нехарактерных для псориаза местах (на коже лица, слизистой половых органов, в естественных кожных складках).
Очень часто высыпания сначала развиваются на голове, под волосами. Здесь образуются скопления корок на фоне умеренной инфильтрации. Другим распространенным участком локализации сыпи являются участки кожи подверженные постоянному трению одежды или воздействию агрессивных лекарственных препаратов.
Формирующиеся на теле папулы постепенно сливаются в бляшки с неправильными очертаниями. Их размеры могут варьироваться от чечевичного зерна до детской ладошки.
При каплевидной форме папулезные элементы обладают маленькими размерами. Они появляются неожиданно, быстро покрывая тело, лицо, шею, волосистую часть головы и разгибательные области рук и ног.
Псориаз у детей отличается длительным и упорным течением. Исключение составляет лишь каплевидный тип, для которого характерно более легкое течение с длительными периодами ремиссии. Как и в случае взрослых, в развитии болезни выделяют три этапа, или стадии.
Диффузные очаги поражения наблюдаются на ладошках и подошвах ребенка. Отмечаются также трещины и инфильтрация кожи. В случае распространенных форм дерматоза поражаются ногти: на них образуются точечные вдавливания или продольные борозды. Тяжелое течение псориаза приводит к деформированию ногтей.
Пустулезный псориаз – большая редкость у малышей. Она может встречаться у более взрослых. Для этой болезни характерно тяжелое течение с заметным ухудшением состояния и повышением температуры.
Артропатические разновидности в детском возрасте не встречаются. В редких случаях маленькие пациенты указывают на наличие суставных болей.
При подозрении на псориаз следует обратиться к врачу-дерматологу.
Способ лечения псориаза определяется формой болезни, симптомами и чувствительностью к медикаментам.
Сначала проводится местное лечение с воздействием на пораженные участки. Это позволяет избежать возникновения побочной реакции.
Есть методика, в соответствии с которой больным назначают мягкие препараты. При отсутствии эффекта они заменяются более сильнодействующими. Даже при эффективности выбранного средства его периодически меняют, чтобы избежать привыкания.
Хороший результат дает прием системных препаратов. Их назначение целесообразно при тяжелой и средней формах патологии. Недостатком такого лечения является высокая вероятность серьезных побочных реакций.
Основные группы применяемых лекарств:
Применяются также физиотерапевтические методы:
Источник:
Вовремя выявленная болезнь – залог успешного лечения. Это правило особенно характерно для тех заболеваний, лечить которые очень сложно. К таким относится и чешуйчатый лишай, больше известный как псориаз. За последние десятилетия эта болезнь охватывает все большие территории, поражает младенцев и пенсионеров, склоняя статистику в печальную сторону. Резолюция ВОЗ от 2014 года призвала государства информировать население о симптомах, причинах и течении псориаза.
Такую серьезную заинтересованность чешуйчатый лишай вызвал не зря. Сегодня из классификации обычных кожных заболеваний псориаз переместился к системным патологиям. Установлено, что больные с этим недугом больше подвержены инфекциям, болезням сердца, депрессиям, сахарному диабету. Учитывая отсутствие единой системы лечения, очень важно выявить псориаз на начальных стадиях.
Симптоматика этого дерматоза узнаваема даже для тех, кто никогда не сталкивался с подобной проблемой. Общим признаком наличия чешуйчатого лишая является разноплановая сыпь на коже.
Эта сыпь появляется в местах воспаления эпидермиса, может быть крупной или точеной, с шелушениями, а иногда и гнойным наполнением. Каждый отдельный элемент такого высыпания называется папулами. Наблюдения за пациентами с псориазом показали, что эта болезнь может подавать первые признаки еще до появления папул на теле.
В большинстве случаев появлению сыпи предшествует смена настроения, упадок аппетита, расстройства пищеварения. Замечено, что подавленное состояние, нередко без причин, очень часто появляется за несколько дней до формирования первых папул. Проблема в том, что пациенты с подобными симптомами не видят причины обращения к доктору. Но, даже в случае своевременного посещения врача, специалист далеко не всегда может установить истинную причину такого состояния и правильно установить диагноз.
Появление сыпи на теле является главным симптомом псориаза. В зависимости от типа чешуйчатого лишая (а их насчитывают десятки), места поражения, возраста больного, заболевание может проявляться по-разному.
Чешуйчатый лишай может проявляться даже у младенцев. Встречается такое очень редко, но часто усугубляется самими родителями. Первые признаки болезни могут напоминать потницу или аллергию, поэтому взрослые полагаются на собственные знания и лечат ребенка самостоятельно. В большинстве случаев младенцы с псориазом попадают к доктору уже на прогрессирующей стадии болезни.
У грудничков чешуйчатый лишай появляется чаще всего в местах складок: на внутренней части бедра, подмышками, между пальцами ног и рук, в складках кожи на шее. Появление папул часто сопровождается зудом, поэтому малыш может быть очень неспокойным, не спать по ночам, отказываться от еды.
Пораженные места напоминают грудничковую молочницу, обычную опрелость или экзему. Воспаленная кожа приобретает красный или розовый оттенок, на ощупь горячая. Пустулы могут появляться точечно или образовывать целые пятна – бляшки. Как правило, такие пятна возвышаются над здоровой кожей. Отличительная особенность псориатических бляшек – наличие сухой корочки и чешуек на сыпи, но у младенца папулы и бляшки зачастую располагаются в местах обильного потения, этому поверхность воспалений бывает влажной.
При появлении подобных симптомов важно не терять времени на народные средства и подсказки старшего поколения. Если у новорожденного появилась сыпь (любого характера), его срочно нужно показать педиатру и дерматологу. Лечение псориаза у младенцев мало чем отличается от взрослой терапии, малышу приписывают лечебные негормональные мази, в тяжелых случаях таблетки и инъекции.
У детей старшего возраста начальные симптомы чешуйчатого лишая ничем не отличаются от взрослых. При этом дети могут страдать от любого типа псориаза:
При любых проявлениях локального шелушения и воспаления на коже стоит обратиться за консультацией к дерматологу. Детский псориаз очень быстро прогрессирует, особенно, если он сопровождается зудом. Поврежденные папулы легко заражаются инфекциями, разрастаются и охватывают все большую зону. После назначенной схемы лечения важно постоянно следить за ребенком, не допускать расчесывания ран и новых травм на теле, соблюдать диету.
Первая стадия псориаза может проявиться в любом возрасте, но чаще всего первые вспышки наступают до 20-ти лет, хотя болезнь может «проспать» и до 50-ти лет. У взрослых мужчин и женщин наступают такие же симптомы, как и у подростков. В более зрелом возрасте повышается риск развития псориаза на подошвах, ногтях, суставах.
Всемирная статистика заболеваний выявила, что женщины страдают от чешуйчатого лишая почти в полтора раза чаще, при этом основная доля борется с бляшковидным псориазом. Чем именно вызвана такая избирательность точно не известно, но ученые предполагают гормональный фактор среди причин псориаза.
По вине тех же гормонов, признаки чешуйчатого лишая у девушек чаще всего проявляются в период ПМС, когда меняется гормональный фон. Также естественная чувствительность женщины делает ее более уязвимой к стрессам, депрессиям, неврозам. Для человека, имеющего предрасположенность к псориазу, любая психологическая нестабильность может стать провокатором вспышки заболевания.
Среди остальных причин обострения болезни называют:
По сути, если у женщины есть генетическая предрасположенность к псориазу, один из раздражающих факторов рано или поздно спровоцирует вспышку. Чтобы избежать в дальнейшем таких обострений, пациент должен тщательно следить за своим образом жизни.
Симптомы псориаза у женщин такие же, как и у мужчин, единственное гендерное различие появляется при поражении наружных половых органов. В области гениталий девушки сталкиваются с бляшковидным и обратным видом, иногда пустулезным. Первыми симптомами является воспаление кожи на половых губах или лобке, редко поражается слизистая оболочка.
Небольшие папулы с булавочную головку могут появляться по несколько штук или единым пятном. Чешуйки при половом псориазе появляются редко, так как место локализации не позволяет поступать воздуху. Отличительной особенностью псориатической сыпи является то, что папулы и бляшки немного выступают над поверхностью и горячие. При подобных симптомах стоит сразу же обратиться к дерматологу и гинекологу.
Мужская половина, как мы уже отметили, страдает от чешуйчатого лишая немного реже, чем женщины. Тем не менее течение болезни и признаки остаются одинаковыми для обоих половин. Опрос и анализ больных выявил, что у мужчин первые симптомы проявляются в возрасте от 22 до 25, в то время как у дам это происходит с 15 лет. Такие «запоздалые» симптомы связывают с тем, что у сильной половины гормональный баланс наступает позже.
Начинается псориаз у мужчин точно так же. В большинстве случаев сначала появляются мелкие папулы с серебристыми чешуйками, затем объединяются в пятна больших размеров – бляшки и «парафиновые озера».
Каплевидный псориаз поражает сразу большие участки тела, но отдельными небольшими соединениями.
Отличить псориаз от других кожных заболеваний можно и в домашних условиях, если внимательно рассмотреть воспаленные элементы:
Помимо явных симптомов, чешуйчатый лишай иногда сопровождается общим ослаблением организма, подавленным состоянием, повышением температуры тела. Псориатические элементы могут быть разными по форме, например, мелкие отдельные папулы в небольших количествах появляются при точечном поражении. Заражение сразу большого участка тела (вся спина, бока, живот, ноги) происходит при каплевидном псориазе, при этом, папулы по форме напоминают капли. Большие локализованные пятна являются признаком монетовидного псориаза.
Оперируя наблюдениями за пациентами обоих полов, ученые сделали выводы, что у мужчин чешуйчатый лишай протекает тяжелее, а периодичность обострений больше, чем у женщин. Отзывы специалистов отметили, что связано это с банальным нежеланием лечиться. Слабая половина, все же внимательнее относится к своему здоровью и посещает врача в целях профилактики намного чаще, чем сильный пол. Единственный вид псориаза, при котором мужчины не медлят с лечением – половой. Бляшковидный, обратный или пустулезный вид бляшек может появляться на головке полового члена, мошонке или на лобке.
Учитывая чувствительность кожи в данных местах, воспаления прогрессируют очень быстро и требуют немедленного лечения. При выявлении любой сыпи на половых органах тратить время на «самоосмотр» и самолечение не стоит. Причиной обращения к доктору считается даже обильное шелушение кожи, без красных воспалений и зуда.
Псориаз ногтей (ониходистрофия) и волосистой части головы у мужчин встречается тоже нередко. Именно эти два вида, по утверждениям дерматологов, чаще всего запускают мужчины. Несмотря на то, что в интернете масса фото с признаками болезни, симптомы чешуйчатого лишая воспринимают как грибок или перхоть, а к врачу обращаются с уже прогрессирующей формой.
При поражении волосяного покрова головы появляется сильное шелушение, иногда зуд, грубая корочка местами или по всей поверхности волосистой части. Псориаз ногтей проявляется изменением цвета ногтя, появлением впадин и бугорков, уплотнением ногтевой пластины и кожи вокруг нее. Подробнее градацию симптомов мы рассмотрим ниже.
Итак, у детей, женщин и мужчин симптомы псориаза ничем не отличаются. Поводом посещения доктора служат любые воспаления на коже тела, головы или ногтях. Если пораженные места не чешутся или не шелушатся – это еще не значит, что кожа поражена не псориазом.
Первые признаки заболевания длятся, как правило, несколько дней, после чего начинают быстро прогрессировать. Иногда болезнь может развиваться очень медленно и начальные симптомы «задерживаются» на неделю или более. В любом случае заболевание перейдет в полноценную фазу, рано или поздно. Места локализации псориаза нередко заводят в заблуждение и больных, и самих специалистов. Тот же псориаз ногтей при первых проявлениях очень сложно отличить от обычной грибковой инфекции.
На первых этапах развития псориаз на голове выглядит как незначительное шелушение. Постепенно пораженные места приобретают красноватый оттенок, могут болеть и чесаться, иногда выступают за линию роста волос: на затылке, за ушами, на лбу. Эпидермис в воспаленных местах уплотняется, плотная структура псориатической сыпи считается одной из отличительных черт.
Такое проявление часто путают с себореей, при которой кожа головы также сильно шелушится. Однако, в отличие от себореи, псориатические элементы кровоточат, если снять с них верхний чешуйчатый слой. К тому же, псориаз отличается огрубением пораженной кожи. Если такая сыпь сопровождается сильным зудом, пациенты часто усугубляют ситуацию травмированием бляшек и папул. Открытые ранки быстро заражаются и болезнь прогрессирует.
Появляется такой вид чешуйчатого лишая у детей и взрослых. Попытки самолечения часто только ухудшают картину болезни, поэтому при первых подозрениях на псориаз лучше проконсультироваться со специалистом. Точно разобраться в характере воспалений может трихолог и дерматолог, ребенка лучше сначала показать ведущему терапевту.
На теле чаще всего первые папулы появляются в местах сгибов и трения: на коленях, в подмышечных впадинах, на локтях, на шее. В зависимости от типа псориаза, проявления могут разниться. Как и у детей, взрослые могут сталкиваться со многими типами этой болезни, но к описанному выше списку добавляется еще несколько пунктов.
Помимо самых распространенных видов чешуйчатого лишая люди в возрасте от 18 лет могут столкнуться с:
Особенно опасными считаются артрический и эритродермический псориаз, так как они влекут за собой более серьезные осложнения. В случае поражения суставов болезнь грозит настоящей инвалидностью. Однако чаще всего самые тяжелые формы заболевания появляются у тех пациентов, которые уже болеют псориазом.
Ноги чаще всего поражаются в области коленей, это может быть обратный или бляшковидный псориаз. В этом случае колено полностью или частично покрывается плотной коркой с шероховатой поверхностью белого цвета. Чаще всего при поражении коленей то же самое происходит и на локтях, но не обязательно. Мы уже узнали, как можно определить по папулам псориаз.
Также ноги – частая зона поражения каплевидным видом. В этом случае большая часть ноги покрывается мелкими папулами, которые при этом занимают площадь от голени до бедра. Элементы воспаленные, горячие, иногда зудят и болят.
Огрубение кожи, болезненные зудящие мозоли на ступнях говорят о подошвенном псориазе, при этом он может «задеть» одновременно и ладони. Это очень распространенная форма болезни, поскольку ступни больше всего поддаются механическому воздействию. Кожа в месте поражения трескается, отслаивается, чешется. Важно вовремя обратиться за консультацией, так как в места трещин могут попадать грибки и инфекции, вызывая сильное осложнение.
Ониходистрофия поражает ногтевую пластину. Часто сопровождает другие, более сложные, формы псориаза, но иногда появляется и самостоятельно. С таким заболеванием пациенты тоже обращаются обычно очень поздно, принимая это болезнь за грибок. Симптомами заболевания являются:
Временить с лечением такого вида заболевания тоже не стоит. Она медленно, но стабильно прогрессирует, в итоге больной может полностью потерять ноготь без дальнейшего восстановления. За консультацией в этом случае нужно тоже обращаться к дерматологу.
Псориаз поражает область рук так же часто, как и остальное тело. Чаще всего под его «прицелом» оказывается локоть, так как он более всего подвергается трению, сгибу, повреждениям. На этом участке локализуется обратный, бляшковидный, пустулезный псориаз. При этом первые признаки заболевания развиваются так же, как и на коленях.
Очень проблемная зона на руках расположена в подмышечных впадинах. Здесь очень быстро прогрессирует любой вид болезни, поскольку это теплое и влажное место, лишенное хорошего доступа воздуха. В этом случае псориаз не всегда покрыт шелушащейся корочкой, бляшки и пустулы могут напоминать обычное раздражение или опрелость.
Если воспаленные точки растут и умножаются – нужно срочно обратиться к дерматологу.
Как уже отмечалось, наиболее часто при псориатическом артрите поражаются мелкие суставы в пальцах рук и ног. В сложном течении это заболевание поражает позвоночник и тазовые соединения. Распознать заболевание на ранних стадиях очень сложно, особенно в домашних условиях. К сожалению, диагностика очень осложнена. Сегодня даже клиники могут установить только последствия поражения суставов, а не предупредить болезнь.
В большинстве случаев артропатический псориаз является осложнением другой формы этой болезни и выступает в качестве самостоятельного заболевания очень редко. Отличительной особенностью является то, что он поражает соединительную ткань вокруг сустава. Например, если поражены суставы пальцев, у больного наступает дактилит – воспаление всех тканей в пальцах. При этом они увеличиваются в объеме, не сгибаются, очень болят.
Сегодня не существует единой системы лечения псориаза, как и единого лекарства, которое помогло бы одинаково эффективно каждому больному этим недугом. Чешуйчатый лишай относят к систематическим незаразным заболеваниям, которые протекают в хронической форме. Вылечить его раз и навсегда нельзя, но вполне возможно добиться длительной ремиссии. Выявление болезни на ранних стадиях значительно упрощает эту задачу.
В целях профилактики медики рекомендуют проходить общий осмотр и сдавать анализы раз в полгода-год, даже если нет подозрений на какое-либо заболевание. При появлении сыпи, длительных раздражений, больших участков шелушения на коже стоит сразу же обратиться к специалисту и не терять драгоценное время на опасное самолечение.
Больше свежей и актуальной информации о здоровье на нашем канале в Telegram. Подписывайтесь: https://t.me/foodandhealthru
Источник:
Псориаз (в переводе с греческого «psora» – «болезнь кожи, струпья») – хроническая патология неинфекционной природы, известная еще как чешуйчатый лишай, которая поражает в основном области кожи на коленных и локтевых суставах, внизу спины и на голове. Встречается и псориаз суставов, костей, ногтей, наружных половых и внутренних органов, но эти формы диагностируются достаточно редко. Патологию излечить сложно, поэтому при появлении первых симптомов, красных высыпаний необходимо срочно обратиться к врачу.
Первый признак псориаза, входящий в триаду симптомов патологии. Характеризуется усилением шелушения после скобления пораженной поверхности шпателем. Со временем отмечается отделение от папул серебристо-белых чешуек. Их удаление не представляет труда, так как они становятся рыхлыми и слабо держатся на псориатической папуле. Поверхность новообразований (высыпаний) белеет, а частицы осыпаются и напоминают стружку.

Первый феномен триады объясняется развитием паракератоза (неправильного функционирования эпителия, которое приводит к нарушению формирования ороговевшего слоя). Для борьбы с отклонениями на начальной стадии применяют местные негормональные средства (кремы, мази).
Характеризуется снятием с папул тонкого слоя ткани, имеющего блестящую структуру и внешне похожего на полиэтилен. Он легко отделяется при любом воздействии (давление, трение и так далее) после удаления засохших чешуек.
Терминальная пленка – это последний слой, который удаляется с кожного покрова. Дальнейшее соскабливание приводит к последнему этапу триады – капельному кровотечению.
На этой стадии используют лечебные травяные ванны, препараты с противоаллергическим эффектом, мази на природной основе (без кортикостероидов и гормонов).
После снятия терминальной пленки на пораженном месте кожи возникает капельное кровотечение (симптом Ауспица или «кровавая роса») и отмечается ускоренный рост новообразований, которые иногда достигают размера горошины и называются лентикулярными. В некоторых случаях папулы увеличиваются до диаметра небольшой монеты и дифференцируются, как нуммулярные. При прогрессировании болезни их рост усиливается и при соединении формируются псориатические бляшки.

Для лечения применяют ретиноиды, иммуномодуляторы, противовоспалительные препараты, физиопроцедуры.
Распознать заболевание можно и по другим характерным признакам, основными из которых являются 4:




В большинстве случаев начало патологии незаметно: на ранней стадии псориаз поражает маленькие области кожи, в основном – на сгибах конечностей, голове и вдоль линии роста волос.
Выделяют 3 стадии развития патологических папул:



Признаки болезни в зависимости от типов:








В большинстве случаев высыпания появляются на поверхности локтей или между пальцами. Реже папулы отмечаются на предплечье.
Псориатические образования в основном возникают на ногах в области коленей, но не исключено их формирование и на других участках ног.
Первая сыпь единичная и небольшая с четким контуром, но рыхлая, воспаленная и сильно шелушится. Такие точечные папулы быстро распространяются, формируя конгломераты.
Часто развивается на фоне себореи, затрагивает линию роста волос, образуя так называемую псориатическую корону. Кожные формирования постепенно разрастаются и распространяются по всей поверхности, напоминая перхоть. Эта локализация встречается достаточно часто, реже сыпь появляется на ушах или за ними.
Ногтевая пластина может поражаться по типу:


Обычно проявляется характерными папулами, которые сливаются между собой. Чаще встречается псориаз на спине, реже на шее, животе, бедрах, образования могут быть каплевидной, точечной и бляшкообразной формы.
Поражается редко, высыпания находятся в носогубных складках, в области висков и бровей, вокруг глаз. Редко патология затрагивает кайму губ, сыпь напоминает герпес.
Поражаются одновременно обе зоны, но отмечались случаи, когда патология развивалась только на стопах или ладонях. На подошвах болезнь часто сочетается с грибковой патологией, что значительно затрудняет диагностику и терапию.
Этот вид псориаза разделяют на 3 типа:
Патология способна поражать суставы человека, что ведет к изменению структуры их тканей, что при прогрессировании влечет болезненность и деформацию. Внешние симптомы: на кожном покрове появляется сыпь красноватого цвета. Внутренние признаки – суставы болят, особенно во время сна, ощущается скованность движения, отечность. 
В большинстве случаев псориатическое заболевание сопровождает зуд различной степени интенсивности, иногда чешутся не только пятна, но и все тело. На начальной стадии зуд легкий, постепенно усиливаясь.
Степень интенсивности зависит и от месторасположения патологии. Например, псориаз на голове чешется сильно, при этом кожный покров шелушится и отпадает крупными хлопьями, по размеру крупнее обычной перхоти. На стационарной стадии зуд уменьшается, часто сменяется жжением. Во время ремиссии все основные симптомы проявляются слабо.
Зуд усиливается при:
Сильно чешется кожный покров после употребления кофе, спиртных напитков, пряной и острой пищи, шоколада и других аллергенов.
Клинические проявления заболеваний похожие, но есть несколько особенностей, по которым можно их различить:
Отличительным признаком псориаза является «псориатическая триада». Заболевание нарастает постепенно и проходит 3 стадии. Розовый лишай (питириаз) развивается быстро и постоянно прогрессирует. Кроме того, питириаз является заразной болезнью, а чешуйчатый лишай – нет.
Разница между подагрическим и псориатическим артритом кроется в причине развития. Подагра возникает из-за отложения кристаллов мочевой кислоты в хрящевой ткани суставов. Отклонение от нормы могут спровоцировать: артериальная гипертензия, ожирение, прием мочегонных препаратов, употребление алкоголя и так далее.
Симптомы псориаза и подагры схожи – это сильная боль в ночное время, скованность в движениях, покраснения и отек в области поражения. Однако при псориазе в большинстве случаев сначала появляются характерные высыпания красного цвета, а затем болевые ощущения.
Другие отличительные симптомы подагрического артрита:
Источник:
Появляются первые признаки псориаза в большинстве случаев типично, для правильной постановки диагноза нужно обратиться к врачу. Определить псориаз трудно, если болезнь протекает на фоне других поражений кожи.

В начальной стадии признаки псориаза у женщин (фото 2) проявляются слабо, но в большинстве случаев диагноз можно поставить уже при их наличии. Внешне признаки псориаза на коже выглядят как небольшие розовые пятна с ограниченными краями правильной формы. Такие пятна не похожи на аллергические, хотя зуд может присутствовать и в самом начале развития заболевания.

Первые признаки псориаза (фото внизу) на теле отличаются сухостью кожи возникших псориатических пятен. Их поверхность не воспалена, она характеризуется появлением мелких сухих корочек слущивающегося эпидермиса. По внешнему виду определить признаки псориаза у человека просто – корочки на пятнах похожи на расплавленный парафин, они имеют белый или серый цвет с блестящим отливом, различную толщину.
Часто первые признаки псориаза у женщин сопровождаются нестерпимым зудом, кожа в месте псориатического поражения становится горячей на ощупь. Пятна появляются внезапно, возможен , волосистой части головы, поверхности спины. Первые признаки псориаза на руках также могут возникнуть, но потом заболевание поражает и остальные части тела женщины.

Часто первые признаки псориаза у мужчин (фото 3) проявляются в возрасте 20-21 года, когда заканчивается полностью период полового созревания. Обычно признаки псориаза у мужчин проявляются дольше, нежели у женщин, заболевание упорно не хочет переходить в стадию ремиссии.
Основные локации заболевания – тело, а особенно район спины, плеч, внутренняя поверхность бедер, волосистая часть головы, локти, ягодицы. Иногда появляется , реже он возникает на лице. Кожа на теле мужчины покрывается пятнами розового цвета различной интенсивности – от светлого, едва различимого с кожей, до багрового, похожего на кровоподтеки. Это индивидуальные особенности сыпи, такие признаки начала псориаза характерны не для всех мужчин. Псориатические пятна на коже не сравниваются с окружающим кожным покровом, они возвышаются над остальной поверхностью кожи, и на них можно заметить мелкие белые чешуйки кожи, которая словно отшелушивается с поверхности тела.
Также, как и у женщин, псориатические бляшки у мужчин подвержены зуду. Поверхность кожи начинает нестерпимо чесаться, и если расчесывать места поражения, то пятна будут трескаться, кровить, возможно занесение инфекции. Особенно чувствителен к различным повреждениям псориаз в области половых органов.

В большинстве случаев определить псориаз довольно просто, ведь заболевание не похоже на другие кожные патологии. Аллергические высыпания имеют меньшую калибровку по сравнению с пятнами псориаза, к тому же показывает, что пациенты практически не страдают отеками кожи, как при аллергии. При осмотре врач откажется от диагноза таких патологий, как дерматит или экзема, поскольку псориаз не имеет характерных признаков этого заболевания. Определить псориаз или лишай поможет визуальное исследование и анализ крови, который при лишае покажет сниженное количество Т-лимфоцитов. В основном признаки заболевания псориаз дифференцируются с микотическим поражением кожи, поскольку на начальной стадии эти две болезни могут иметь наибольшее сходство.
Начальные симптомы и признаки псориаза (фото 4) отличаются главными особенностями, на которые и будет опираться врач при постановке диагноза:
Исследуя начальные признаки псориаза, врач сможет поставить диагноз и назначить симптоматическое лечение.

В большинстве случаев признаки псориаза у детей (фото 5) проявляются в возрасте до пяти лет. Статистика гласит, что два трети малышей имеют этот диагноз в первые пять лет своей жизни. Очень часто первые признаки псориаза у детей остаются незамеченными – врачи ставят диагноз пеленочный дерматит или микотическое поражение кожи, но уже в ходе наблюдения за динамикой патологии выявляется типичная для псориаза картина.
Признаки детского псориаза (фото в гал) по своей сути не отличаются от течения заболевания у взрослых. В основе патологического процесса лежит все то же быстрое созревание поверхностного эпителия, что и создает у малышей шелушения и корочки. В зависимости от аллергического статуса ребенка псориаз протекает с более или менее выраженным зудом. Если ребенок уже на начальной стадии расчесывает места поражения псориатической сыпью, то это может затруднить постановку диагноза.
У части детей появляются первые признаки псориаза в переходном возрасте, что дает возможность врачам подозревать гормональную составляющую в этиологии заболевания, но пока это точно не подтверждено.

Лечение заболевания на начальной стадии не зависимо от осуществляют кератопластическими средствами, устраняющими неприятную сухость и стянутость на коже. Признаки, как проходит псориаз, можно увидеть при применении кремов, мазей или лосьонов с содержанием глюкокортикоидов. Среди таких препаратов пациентам назначают Преднизолон, Дексаметазон, Гидрокортизон. Популярны мази с содержанием цинка, поскольку они оказывают противовоспалительное действие, но ими нельзя увлекаться, т.к. они сушат кожу.
Для улучшения состояния кожи показаны препараты с витаминами А и Д3, которые способствуют регенерации кожного покрова при мелких трещинах.
Среди местных препаратов хороший эффект дает , мазь Дайвобет и Карталин. Положительные отзывы у пациентов от применения салициловой мази, средства Кориодермин, Акрустали и Белосалик.
Мои источники:
Плейлист видео про псориаз (выбор видео в правом верхнем углу)
Поделиться с друзьями: